Bé gái 13 tuổi nhập viện sau khi đột ngột hôn mê sâu, các bác sĩ xác định bệnh nhi bị đ ột qu ỵ, vỡ dị dạng mạch m@u n ão, biến chứng nặng trên nền bệnh cơ tim xốp.
Ngày 5/11, TS.BS Trần Minh Huy, Khoa Ngoại Thần kinh, Bệnh viện Nhi đồng 1 (TP.HCM), cho biết, bệnh nhi (H.T.T.T, 13 tuổi) được tuyến trước (Bệnh viện Hóc Môn) chuyển đến trong tình trạng hôn mê sâu, phải thở máy qua nội khí quản, nhịp tim chậm, huyết áp thấp. Siêu âm tim, chụp cắt lớp vi tính sọ não ghi nhận vỡ dị dạng động tĩnh mạch trán phải, gây xuất huyết não, kèm sốc tim, rối loạn nhịp…
Các bác sĩ nhiều chuyên khoa hội chẩn để xử trí cấp cứu. Bác sĩ tim mạch can thiệp đặt máy tạo nhịp tạm thời. Bác sĩ ngoại thần kinh phẫu thuật cấp cứu mở sọ giải áp, vi phẫu cắt dị dạng mạch máu não, lấy máu tụ trong nhu mô não và não thất.
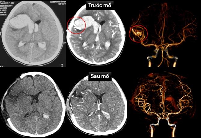
Sau phẫu thuật, bé được điều trị hồi sức tích cực, thông khí cơ học, dùng thuốc vận mạch và chống phù não. Hiện, bệnh nhi đã tỉnh táo, chỉ còn yếu nhẹ chân phải, tim mạch ổn định. Hình ảnh chụp não sau mổ cho thấy không còn dị dạng mạch, chức năng tim cải thiện rõ. Bác sĩ Huy tiên lượng bé có khả năng hồi phục tốt, không di chứng.
Hình ảnh chụp cắt lớp vi tính sọ não và dựng hình mạch máu não trước và sau mổ. Ảnh: Bệnh viện Nhi đồng 1
Theo bác sĩ Huy, dị dạng động tĩnh mạch não ở trẻ em rất hiếm, chỉ chiếm khoảng 0,01% dân số, song lại là nguyên nhân hàng đầu gây đột quỵ xuất huyết não ở trẻ, chiếm tới 70% các ca xuất huyết não tự phát. Đa số bệnh nhân có dị dạng động tĩnh mạch não không gây triệu chứng, chỉ được phát hiện khi vỡ. Tỷ lệ xuất huyết não của dị dạng động tĩnh mạch não chưa vỡ là 2-4% một năm, gia tăng theo tuổi, tiền sử dị dạng động tĩnh mạch não xuất huyết trước đó, đặc điểm, vị trí túi phình…
Cơ tim xốp cũng là bệnh lý tim hiếm gặp, đặc trưng bởi các bè cơ tim dày, rỗng, hình thành do bất thường trong quá trình phát triển tim. Biểu hiện của bệnh rất thay đổi, từ không triệu chứng đến suy tim, loạn nhịp tim hoặc đột tử.
“Việc phối hợp hai bệnh hiếm – dị dạng mạch máu não và bệnh cơ tim xốp – trên cùng một bệnh nhân là rất hy hữu và được báo cáo rất ít trong y văn”, bác sĩ nói. Ở bệnh nhân này, hai bệnh lý đều không biểu hiện triệu chứng. Chỉ khi dị dạng động tĩnh mạch não vỡ gây xuất huyết não, tăng áp lực nội sọ đột ngột mới gây ra tình trạng trên hệ thống tim mạch.
Có thể nói, chính nhờ sự phối hợp chặt chẽ giữa cơ sở y tế tuyến trước và Bệnh viện Nhi Đồng 1, cùng với sự phối hợp của các chuyên khoa sâu: cấp cứu, chẩn đoán hình ảnh, ngoại thần kinh, tim mạch can thiệp và hồi sức ngoại đã giúp chẩn đoán và can thiệp kịp thời, giúp cứu sống được trường hợp bệnh nhi này.
Theo các chuyên gia Bệnh viện Nhi Đồng 1, đột quỵ ở trẻ em tuy hiếm nhưng có xu hướng tăng. Khi trẻ có biểu hiện yếu liệt đột ngột, nói khó, mất ý thức hoặc thở bất thường, phụ huynh cần nhanh chóng đưa đến bệnh viện có khả năng cấp cứu thần kinh – tim mạch nhi. Việc phát hiện và can thiệp sớm có thể giúp cứu sống và bảo tồn chức năng não, tim cho trẻ.
Theo Tạp chí Sở hữu trí tuệ
Link bài gốc
https://sohuutritue.net.vn/tphcm-be-gai-13-tuoi-dotquy-xuathuyet-nao-soc-tim-khi-dang-ngu-d332626.html


