
Trang Tin Online
Phụ nữ, giải trí, xã hội
Tác giả: Thanh Thanh


Chốt phiên giá vàng tối nay 9/11: Giá vàng thế giới, giá vàng SJC, giá vàng 24K, 9999, vàng nhẫn

Lấy chồng họ Xà cực hiếm, nữ diễn viên mấy tháng mới “chốt” được tên con đến khi đi khai sinh lại gặp sự cố

Câu hỏi 99% người trả lời sai: Từ tiếng Việt nào có đến 1000 chữ H?

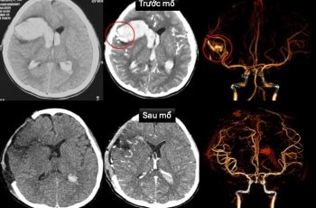
TP.HCM: Bé gái 13 tuổi đôt quy, xuat huyet não, sốc tim khi đang ngủ

Giá vàng hôm nay 9/11/2025 neo ở ngưỡng cao, chờ tín hiệu mới để bứt phá

“Xoay ngược số 69 được số nào?”, bài toán tiểu học gây tranh cãi với đáp án của giáo viên

Lắp camera nhưng chưa kịp báo với chồng, nghỉ trưa mở lên xem tình hình trong nhà, tôi rụng rời tay chân với cảnh tượng trước mắt

Phụ nữ độc thân giải quyết nhu cầu của họ như thế nào?
